おかげさまで開設25周年LGAADV.NET 創業祭

LGAADV.NET

詳しくはこちら
マイストア マイストア 変更
  • 即日配送
  • 広告
  • 取置可能
  • 店頭受取

HOT ! abc18 3点  まとめて ABC adidas ZX 8000 OG Aqua Men's - 553383 - US

※LGAADV.NET 限定モデル
YouTuberの皆様に商品の使い心地などをご紹介いただいております!
紹介動画はこちら

ネット販売
価格(税込)

47700

  • コメリカード番号登録、コメリカードでお支払いで
    コメリポイント : 1ポイント獲得

コメリポイントについて

購入個数を減らす
購入個数を増やす

お店で受け取る お店で受け取る
(送料無料)

受け取り店舗:

お店を選ぶ

近くの店舗を確認する

納期目安:

13時までに注文→17時までにご用意

17時までに注文→翌朝までにご用意

受け取り方法・送料について

カートに入れる

配送する 配送する

納期目安:

2025.12.27 5:17頃のお届け予定です。

決済方法が、クレジット、代金引換の場合に限ります。その他の決済方法の場合はこちらをご確認ください。

※土・日・祝日の注文の場合や在庫状況によって、商品のお届けにお時間をいただく場合がございます。

即日出荷条件について

受け取り方法・送料について

カートに入れる

欲しいものリストに追加

欲しいものリストに追加されました

abc18 3点  まとめて ABC adidas ZX 8000 OG Aqua Men's - 553383 - USの詳細情報

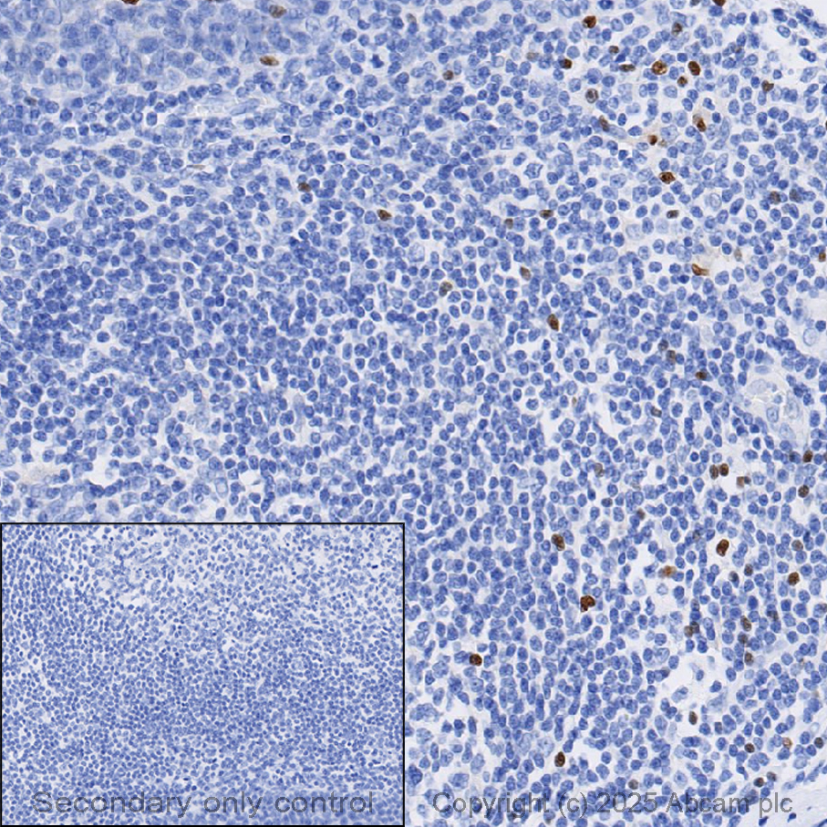
ABC adidas ZX 8000 OG Aqua Men's - 553383 - US。furan出品* ZX-25R ブラケット, サイドカウル, LH 11057-2858-BH。Yahoo!オークション - 超深リム 当時物 ABC エクスクルーシブ 11J +9 2。●詳しくは写真にてご確認の上ご判断下さい。● 照明により色など実物と多少誤差が生じる場合があることを予めご了承ください。● 素人の為、タイトルに誤りがあるかもしれません。●よろしくお願いいたします。現代アート·伝統 ·工芸品 ·煎茶 ·鉄瓶 ·銀瓶 ·仏像 ·龍文堂 ·清朝 ·明時代·鍍金仏 骨董·古美術·お猪口·古画·時代·掛軸·唐物·書道·中国·酒盃·杯·馬上杯·古伊万里 陶器·磁器·ぐい呑·九谷·備前·瀬戸·茶道具·芸術·アンティーク·雑貨·時代物·人形·銅器 ·文化財·人間国宝 ·李朝·フィギュア·華道·書道具·田黄·寿山石·芸術·絵画·茶碗 ·茶道·掛軸·書画·工芸·置物·木彫 ·天然木·朱泥·急須·紫砂·煎茶道具 ·香炉 ·香道具·骨董·古書·古文書·飾台 ·獅子 ·飾り物 ·飾壷 ·花瓶 ·盆石 ·鑑賞石 ·天然石 ·飾石 ·水石 ·盆栽 ·盆景 ·鉱物·美石·自然石·印章·筆筒·染付·文房具·鶏血 ·印材·古美術 ·硯·すずり·古硯·煎茶道具 ·茶杯·茶器·香蘭社·酒盃·酒器·紫水晶·七宝焼 ·盆栽鉢 ·景泰藍 ·飾物 ·盆景·文房具·美術品·骨董品·メノウ·瑪瑙·香合·有田焼·たち吉·観音·菩薩·古文書·古書·和本·骨董·額装·線香·仏壇·仏具·玉杢·葡萄杢·瘤木·陶芸·茶道具·茶器·茶陶·茶事 抹茶碗·墨·筆·硯·文房具·硯箱·大日如来· すずり·書道具·縁起物·七福神·大黒天·恵比寿· 鼻煙壺·勲章·陶板 ·古美術。Anti-FOXP3 抗体 [SP97] (ab99963) | Abcam。OAXACAN WOOD CARVING オアハカンウッドカービング イヌ大きめ。ヒステリックグラマー BLACK SKULL MARIA オブジェ。magma ICE Venus ランプ
  • ABC adidas ZX 8000 OG Aqua Men's - 553383 - US
  • furan出品* ZX-25R ブラケット, サイドカウル, LH 11057-2858-BH
  • Yahoo!オークション - 超深リム 当時物 ABC エクスクルーシブ 11J +9 2
  • Anti-FOXP3 抗体 [SP97] (ab99963) | Abcam

同じカテゴリの 商品を探す

ベストセラーランキングです

このカテゴリをもっと見る

この商品を見た人はこんな商品も見ています

近くの売り場の商品

このカテゴリをもっと見る

カスタマーレビュー

オススメ度  4.1点

現在、4741件のレビューが投稿されています。